TORZIA ŽALÚDKA
Torze žalúdka, alebo pretočenie žalúdka, je zdravotný stav, pri ktorom sa žalúdok otočí okolo svojej osi a tým sa zaškrtí vstup aj výstup žalúdka kvôli fermentácii (kvaseniu žalúdočného obsahu). Je to stav, kedy jedinec potrebuje okamžitú pomoc veterinára, a ak mu nie je poskytnutá, môže dôjsť k úhynu psa.
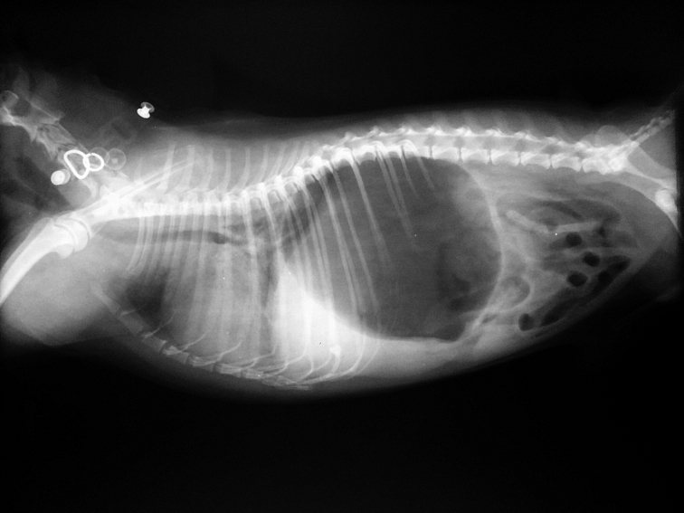
Ako spoznať torziu žalúdka?
Keď sa žalúdok prevráti, môžeme nahmatať zväčšené a tvrdé brucho, podobne ako keby sa pes nafúkol. Pre psa je bolestivé si ľahnúť. Je apatický, snaží sa zvracať a keď sa mu to podarí, zvracia bielu penu a nadmerne sliní. Najčastejšie k tomu dochádza po kŕmení, keď pes skonzumuje veľké množstvo granulí a následne začne behať a skákať.
To, že má pes tvrdé a veľké brucho, nutne neznamená, že ide o torziu žalúdka, po jedle sa brucho prirodzene zväčší!
Ako liečiť torziu žalúdka?
Pri torzi žalúdka sú dôležité minúty. Je to akútny stav, ktorý sa rieši ihneď a čo najskôr! Stav sa musí stabilizovať, a to nie je možné vyriešiť inak než doviesť psa k veterinárovi, ktorý vykoná operáciu. Zavedením vhodnej kanyly na podanie tekutín, medikácie a liekov proti bolesti.
Odstránenie plynov buď zavedením žalúdočnej sondy alebo punkciou brucha ihlou (gastrocentéza). Následne prichádza operačný zákrok, kedy sa žalúdok musí otočiť do pôvodnej polohy (detorzia) a prišiť k brušnej stene, aby sa zabránilo opakovaniu torzie. Následná rekonvalescencia trvá približne 3 mesiace.
PREČO a AKO vzniká torzia žalúdka?

Konkrétny dôvod nie je známy, ale k jej vzniku prispieva podanie veľkého množstva krmiva, prehĺtanie vzduchu, štekot, skákanie a behanie po jedle. Torzia je častejšia u psov ako u sučiek. Predispozíciu k vzniku „torzie“ majú veľké plemená psov kvôli veľkej hrudnej klietke, ako sú napríklad tibetské dogy, írski vlkodavy, ovčiaky, ... a preto je dôležité, aby títo psi mali po kŕmení 20-30 minút pokoj.
Krok za krokom, ako vzniká torzia:
Nadmerné naplnenie žalúdka
pes sa rýchlo naje granulami, ktoré bobtnajú, napije sa, alebo prehltné veľa vzduchu (aerofágia) a žalúdok sa začne rozťahovať, tzv. dilatácia.Otočenie žalúdka (volvulus)
žalúdok sa roztiahne a otočí o 180–360 stupňov. Tým sa uzavrú vstup (otvor z pažeráka) a výstup (otvor do dvanástnika, lat. duodenum). Plyn spolu s obsahom žalúdka sa nemôže dostať von a hromadí sa tam.Tlak na cievy a orgány
žalúdok tlačí naánicu (zhoršenie dýchania), čo bráni návratu krvi k srdcu dolnou dutou žilou. Dochádza k šokovému stavu a žalúdok/slezina začína odumierať. Toto je moment, kedy môže pacient zomrieť.Prevencia
Správna voľba kvalitného krmiva! Ak granule namáčate, je dôležité, aby ich pes čo najskôr zjedol, aby nezačali kvasieť. Preto je podstatné vybrať vhodné granule pre vášho psíka. To isté platí aj pre to, aby bolo krmivo čerstvé a nie preležané.
Nepodávajte veľké množstvo krmiva naraz! Môžeme krmivo rozdeliť na 2 dávky a neposkytnúť mu príliš veľké množstvo granulí v jednej porcii.
Nepodávajte krmivo bezprostredne pred alebo po fyzickej aktivite! Musíme psa po jedle nechať v pokoji aspoň 30 minút a dávať na neho pozor. Pokojná prechádzka chôdzou nevadí, ale vyhnite sa rizikám behania a skákania.
Vyhnite sa rýchlemu hltaniu! Ak váš pes hltá, môže pomôcť protihltacia miska, ktorá má uprostred ryhy, do ktorých nasypete granule a pes ich tak musí vyližovať, čo zabraňuje hltaniu. Alebo existuje napríklad dávkovač alebo rozdelenie jedla do viacerých misiek.

